According to the Childrens Oncology Group, the capsular penetration seen on histologic exam results in which stage and what treatment?










What is the best next step for the management of Wilms tumor in this child?








Current Children’s Oncology Group recommendations for radiation therapy in Wilms tumor patients specify that










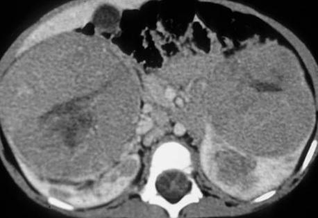
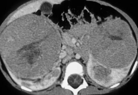
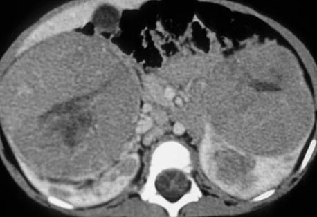
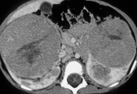
The most appropriate management of this patient with bilateral renal masses is










The genetic characteristic which portends poorer prognosis in Wilms tumor is










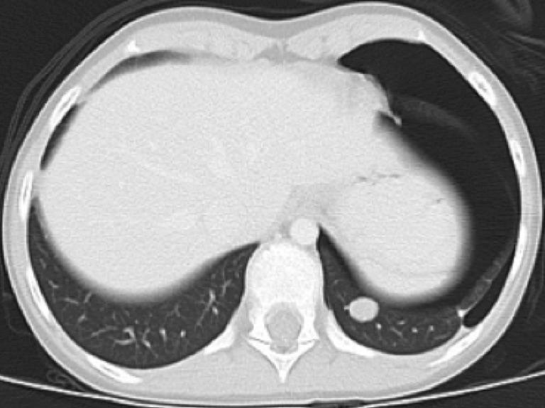
The most effective treatment to improve event free survival in this patient with metastatic Wilms tumor is










The guidelines from the Children’s Oncology Group call for preoperative chemotherapy when










Your recommendation for management of this patient with metastatic Wilms tumor is










The next best step in management of this patient with a metastatic renal tumor is










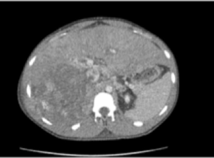
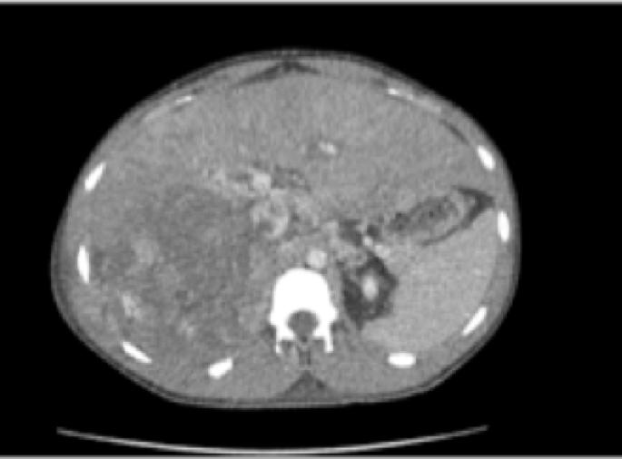
What is the best next step in this child’s management?










The most appropriate surgical management includes right nephrectomy and










Which of the following is required during every Wilms tumor resection?








The operation for Wilms tumor should also include










The next best step in management of this patient with a metastatic renal tumor is










The most appropriate surgical management includes left nephrectomy and










Which of the following is required during every Wilms tumor resection?








The next step in the management of this patient is:










The operation for Wilms tumor should also include










The next best step in management of this child with bilateral renal masses is










According to Wong(J Clin Oncol 34:1772-9, 2016), what are the long term consequences associated with abdominal radiotherapy in patients with Wilms tumor?








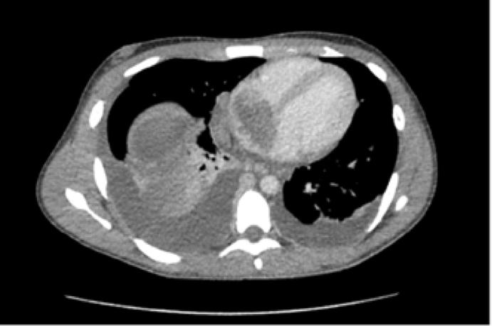
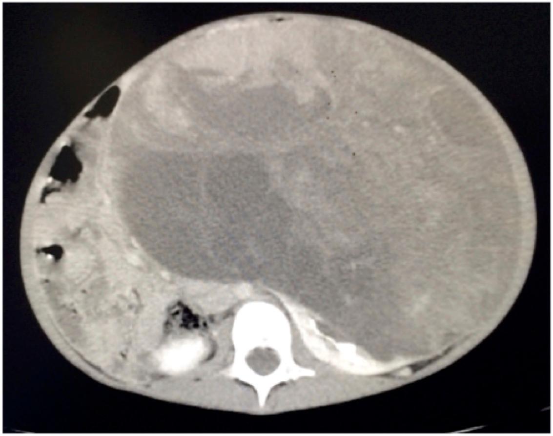
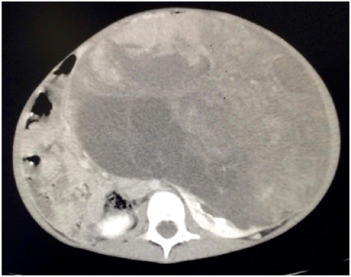
What is the next appropriate step in this patient with a renal tumor and peritoneal implants?










Given the stage, the most appropriate initial treatment of this renal mass would be










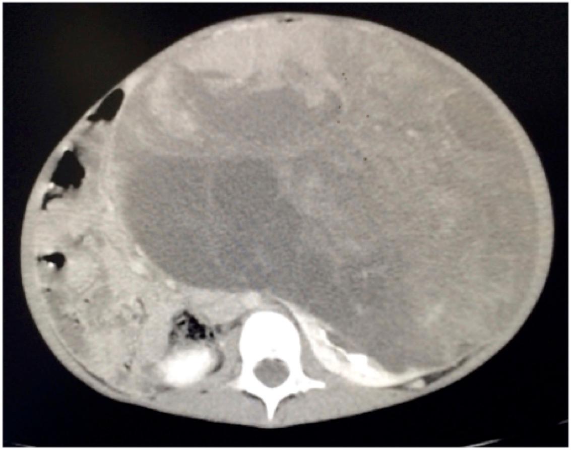
The recommended next step for this patient with a presumed cystic renal tumor is









