Traumatic Brain Injury
Introduction
Traumatic brain injuries are a leading cause of morbidity and mortality in the pediatric population and account for more than half a million emergency department visits annually in children less than 14 years of age [1]. Most head trauma occurs secondary to motor vehicle crashes, falls, assaults, recreational activities and child abuse. Improved outcomes following severe traumatic brain injury in children have been noted in recent studies but the reasons remain unclear [2]. The improvements are most likely related to better prehospital care, regionalization of pediatric trauma care, adherence to evidence based practice guidelines, more aggressive care such as intracranial pressure monitoring and early surgical evacuation of mass lesions, improved diagnostic imaging and advances in intensive care. In July 2003 evidenced based practice guidelines were published for the acute medical management of severe traumatic brain injury in infants, children and adolescents [3]. These guidelines have provided a format to decrease variability in care across centers.
Content in this topic is referenced in SCORE Neurosurgical Trauma overview
Epidemiology
What is the incidence of traumatic brain injury?
Approximately 37,000 children ages fourteen years old or less are admitted to hospitals every year for traumatic brain injury (TBI). Annually nearly 3,000 children will die from TBI and an estimated 30,000 children and youth suffer permanent disability [4]. Annually TBI result in six times more deaths than cancer, twenty times more than asthma and 38 times more than cystic fibrosis [5][6].
There are currently no population based studies to estimate the actual personal and public health burden of TBI in children and youth. Additionally there is substantial under reporting of mild TBI (e.g. concussions) in children. These injuries are estimated to be thee to four times that of the more severe cases. Current studies, including longitudinal outcome studies in adults, often omit this population from study producing underestimates of the burden of disease [6].
What groups are commonly affected by traumatic brain injury?
There is a bimodal age distribution of TBI in children at 0 to 4 years and 15 to 19 years. The highest mortality rates occur in those younger than two years and older than fifteen years. Males are twice as likely as females to be affected by TBI [7]. Infants and toddlers are more likely to suffer from (in order of frequency) falls, motor vehicle crashes, accidental blows to the head and child abuse. These mechanisms are also the highest contributors to brain injury in regards to total billed charges and account for more than $1 billion in total charges over a five year period [8].
Pathophysiology
Why are children more susceptible to brain injury?
Children have structural limitations that cause them to be more susceptible to changes in head inertia. The infant brain doubles its size during the first six months of life and by the age of two years the brain is 80 % of their full grown size. The developing brain has a higher water content associated with incomplete neuronal synapse formation and arborization. The incomplete myelinization and neurochemical changes result in neuronal plasticity after birth. There is less buoyancy and therefore less protection than the mature brain due to a smaller subarachnoid space. These anatomic differences contribute to the higher incidence of diffuse cerebral edema and parenchymal injuries noted in children.
What is the Monro-Kellie doctrine?
The Monro-Kellie doctrine states that given that the cranium is a rigid nonexpansile container, the total volume of the intracranial contents must remain constant and any increase in the volume of one component must be at the expense of the others. The Monro-Kellie doctrine provides a reasonable basic explanation of intracranial dynamics despite the complexity and variability between the relationship of intracranial pressure (ICP) and cerebral blood flow. As the volume of the contents of the cranium increases a point is reached to where any further increase results in an increase in ICP.
Interventions for traumatic brain injury are tailored to decrease ICP by removing cerebrospinal fluid and/or decrease brain hyperemia to improve the oxygenation and blood flow to the brain and prevent secondary brain injury. Secondary brain injury can occur from evolution of the primary damage to the brain leading to edema, ischemia and necrosis of injured tissue and from systemic insults such as hypotension and hypoxia which further exacerbate damage in the area of marginal tissue around the damaged area (penumbra) thereby elevating ICP and decreasing cerebral perfusion pressure.
Prevention
What measures can prevent head injury in children?
There are several ways to help reduce the risk of concussions and more serious brain injuries. These methods include helmets, car and booster seats, stair gates, playground safe surfaces and a "safety first" culture.
According to SafeKidsUSA there are about 275,000 pediatric nonfatal bicycle head injuries every year and children ages 0 to 14 using roller skates or roller blades average 38,155 injuries annually. Skateboarders sustain about 61,000 injuries per year that include nearly 20,000 head injuries requiring treatment. It has been estimated that bicycle helmets could have prevented 75 percent of fatal head injuries and 85 percent of nonfatal traumatic brain injuries in children and if they wore bike helmets every time they got on their bike, it could prevent 135 to 155 deaths, 39,000 to 45,000 traumatic brain injuries and 18,000 to 55,000 scalp and face injuries per year.
Other methods to prevent traumatic brain injury include wearing helmets or approved head gear at all times for
- baseball and softball (when batting)
- cycling
- football
- hockey
- horseback riding
- powered recreational vehicles
- skateboards/scooters
- skiing
- wrestling
Classification
What are the different types of brain injury?
Focal versus diffuse
The vast majority of traumatic brain injuries (TBI) in the United States are blunt or nonpenetrating trauma due to a motor vehicle collision or fall. Blunt injury typically results in focal damage to the underlying brain (coup) and, in some instances, damage to the other side (contrecoup) from rebound movement of the brain within the skull. This is commonly seen with subdural hemorrhages with associated cortical contusion.
Blunt trauma will often lead to axonal injury or shearing and is often coupled with microvascular injury. This diffuse injury is classically observed as petechial hemorrhages in white matter and commonly referred to as diffuse axonal injury (DAI). The impact leads to neuronal depolarization at the time of injury which results in the release of the excitatory amino acid glutamine and massive increases in extracellular potassium which initiates excitotoxicity. This cascade plays a crucial role in the development of secondary injury. DAI can present as a transient loss of consciousness or as profound and persistent neurologic deficits despite an initially relative benign head computerized tomography (CT) scan.
Concussions are described as mild to moderate TBI without an abnormality on brain CT scan. Classically these patients will have headaches, nausea, difficulty concentrating, personality changes and retrograde and/or anterograde amnesia although they need not have all of the symptoms. Long term implications of concussions have been reported for some time but it has only been recently that concussion recognition, treatment, management and prevention have gained increasing notoriety due to problems reported in professional athletes and the resultant media attention.
How is intracranial hemorrhage classified?
Intracranial hemorrhages are classified as epidural, subdural and subarachnoid.
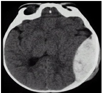
Epidural hematomas are typically associated with middle meningeal artery injuries and are seen on CT as a lenticular hematoma. The classic presentation in adults is described as a lucid interval followed by rapid deterioration. This interval of normalcy is rare in children. Children with hematomas greater than 40 mL may require evacuation.
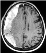
Subdural hemorrhages are differentiated by the age of the injury. Both acute and subacute subdural hemorrhages may occur from birth injury or abuse in infants. Crescent shaped lesions at the surface of the brain are often associated with mass effect and cortical edema. Operative intervention is indicated when neurologic decompensation occurs and a significant subdural hemorrhage is present. Acute subdural hematomas have a worse prognosis than epidural hematomas due to the underlying brain damage. Patients with a midline shift greater than 10 mm should be promptly taken to the operating room for neurosurgery evacuation.
acute | < 3 days |
subacute | 3 - 10 days |
chronic | > 10 days |
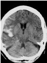
Subarachnoid bleeding in acutely traumatized children is common and is rarely the result of an aneurysm. If associated with minor trauma surgical intervention may not be warranted. However hydrocephalus may occur following subarachnoid hemorrhages and require ventricular shunting to decrease the elevated intracranial pressure. A subarachnoid hemorrhage is associated with a poor outcome in severe TBI secondary to cerebral vasospasm whcih can be identified with angiography and transcranial Doppler imaging. Calcium channel blockers and neurointerventional techniques are not well studied in children and not commonly used.
Skull Fractures
Skull fractures are associated with head trauma in 2 to 21% of children [9]. CT is the diagnostic study of choice for skull fractures and allows concomitant diagnosis of underlying brain parenchymal injury. Subdural hematomas are the most frequent intracranial lesion found on in these patients (20 to 40%). The four major types of skull fractures are linear, depressed, diastatic and those at the skull base. Linear skull fractures are the most common and should be followed for epidural hematoma if in the appropriate location. Skull fractures in which the outer bony table is depressed deeper than the inner table may require operative elevation. Deeper depressions are associated with greater risk of dural tear, cortical laceration and a worse prognosis [10].
Skull base fractures are uncommon in children. The clinical signs of skull base fractures include raccoon eyes (i.e. periorbital ecchymosis), Battle sign (i.e.mastoid ecchymosis) and hemotympanum [11]. If otorrhea is noted a cerebrospinal fluid (CSF) leak can be detected by the presence of β-2 transferrin. Despite the risk of meningitis with basilar skull fractures (two to nine percent), the routine use of prophylactic antibiotics is not recommended as it tends to select out for resistant organisms [12][13]. However patients with a basilar skull fracture and a CSF leak should be considered for vaccination against Streptococcus pneumonia due to the increased risk of pneumococcal associated meningitis [14].
How is the Glasgow coma scale used?
The Glasgow coma scale (GCS) was developed by Jennett and Teasdale in the early 1970s and has become the gold standard of neurologic assessment for trauma patients. The GCS is a practical method for assessing the depth and duration of impaired consciousness and coma. Three components make up the scale: eye opening, motor response and verbal response. The motor response is felt to be the most valuable component of the scoring system and is least affected by trauma.
Eye opening
Eye opening is indicative of the wakefulness of the patient and shows if the arousal mechanisms in the brainstem are active. Spontaneous eye opening is scored a 4. Eye opening elicited by speech is scored a 3 suggesting that the cerebral cortex is processing information. If the patient responds to pain only (score of 2) lower levels of brain are functioning. No response to speech or pain is given a score of 1.
Best motor response
Motor response is felt to be the most valuable component of the scoring system and is least affected by trauma. The highest score of 6 is assigned when the patient can process instructions and respond by obeying a command. A score of 5 is assigned if the patients arm crosses midline in an attempt to remove a painful stimulus. A score of 4 is assigned for withdrawal from painful stimulus.
Decorticate and decerebrate posturing is indicative of more severe brain dysfunction. Decortication is an adduction of the upper extremities with flexion of the arms, wrists and fingers. The lower extremities will extend and internally rotate with plantar flexion of the feet. This movement is assigned a score of 3. This posture is indicative of lesions in the cerebral hemispheres or internal capsule. Decerebrate posture is given a score of 2. Adduction and hyperpronation of the upper extremities while the legs are extended with plantar flexion of the feet reflects midbrain to upper pontine damage. No response to painful stimulus is assigned a score of 1.
Best verbal response
Verbal response is first assessed by determining whether the patient is oriented which is defined as the ability of the patient to know his or her identity (person), place and time (current month, year and season). When the patient is oriented the maximum score of 5 is assigned. If the patient is confused a score of 4 is assigned. A score of 3 is assigned for inappropriate words while incomprehensible sounds assigned a score of 2. No verbal response is assigned a score of 1.
The Modified Glasgow coma Scale for Infants was introduced in James and Trauner in 1985 [15]. It is one of several pediatric modifications to the original GCS.
Mild TBI is defined by a GCS score of 13 to 15, moderate GCS 9 to 12 and severe GCS 3 to 8 [16]. The use of GCS alone can under or overestimate the severity of the TBI and additional criteria are sometimes used to better delineate severity [17][18].
Mild TBI makes up eighty percent of brain injuries seen in the emergency department. Symptoms can last days, weeks or longer.
Symptoms of mild TBI (concussion) are divided symptoms into four categories/domains
1. Thinking/Remembering (Cognitive)
- difficulty thinking clearly
- feeling slow
- difficulty concentrating
- difficulty remembering new information
2. Physical (Somatic)
- headaches
- blurry or fuzzy vision
- early nausea
- dizziness
- sensitivity to light and sound
- balance issues
- fatigue
3. Emotional/Mood (Affective)
- irritability
- sadness
- emotional lability
- nervousness/anxiousness
4. Sleep
- increased sleep
- decreased sleep
- insomnia
As noted above the signs and symptoms of a mild TBI/concussion are nonspecific. Therefore a temporal relationship between an appropriate mechanism of injury and symptoms must be identified. Numerous assessment tools to aid in diagnosis exist including symptom checklists, neuropsychological tests, postural stability tests and sideline assessment tools which are also used to monitor recovery. Cognitive and physical rest are the cornerstones of initial management. There are no specific treatments for concussion. Therefore the focus is on managing symptoms while awaiting spontaneous resolution.
Approximately ten percent of patients with TBI are diagnosed with moderate TBI and ten percent have severe TBI requiring aggressive management. Patients with severe TBI frequently sustain multisystem injury. They have highest rate of death, global and persistent intellectual deficits. Younger children have worse outcomes [19].
TBI severity | |||
Criteria | Mild | Moderate | Severe |
imaging | normal | normal or abnormal | normal or abnormal |
loss of consciousness | < 30 minutes | 30 minutes to 24 hours | > 24 hours |
post-traumatic amnesia | 0 - 1 days | >1 and < 7 days | > 7 days |
Glascow coma scale | 13-15 | 9-12 | 3-8 |
abbreviated injury scale score: head | 1-2 | 3 | 4-6 |
Presentation
What is the most common mechanism of injury?
Falls disproportionately affect the youngest and oldest age groups and are the leading cause of traumatic brain injury (TBI). More than half (55%) of TBI among children 0 to 14 years were caused by falls.
Unintentional blunt trauma (e.g. being hit by an object) was the second leading cause of TBI accounting for about fifteen percent in the United States for 2006 through 2010 and approximately a quarter (24%) of TBIs in children less than fifteen years of age.
Among all age groups motor vehicle crashes were the third overall leading cause of TBI (14%) and were the second leading cause of TBI related deaths (26%) from 2006 through 2010.
About ten percent of all TBI is due to assaults and accounted for three percent of TBI in children less than fifteen years of age and 1.4% of TBI in adults 65 years and older from 2006 through 2010. About 75% of all assaults associated with TBI occur in persons 15 to 44 years of age [20].
Assessment
What studies are important in the evaluation of patients with suspected traumatic brain injury?
Computed tomography (CT) is the traditional approach utilized to diagnose traumatic brain injury (TBI). Its use has been highest in community hospitals and among practitioners without pediatric training. Interest has increased regarding alternate imaging modalities with the growing concern regarding radiation dosage for pediatric patients . The limited availability of magnetic resonance imaging (MRI) and the time and sedation required deter widespread adoption [21]. Standard MRI has been shown in retrospective comparison as a more sensitive diagnostic tool for intraparenchymal lesions [22]. When rapid MRI is compared to CT there is excellent correlation in the identification of extra-axial hemorrhage, contusion, intraparenchymal hemorrhage, skull fracture and diffuse axonal injury [23].
Are intracranial pressure data useful in managing pediatric severe traumatic brain injury?
Children presenting with severe TBI have been found to have in increased risk of intracranial hypertension and studies have also identified clinical factors which identify these increased pressures [24]. CT scans with diffuse cerebral swelling are 75% specific for the presence of elevated intracranial pressure (ICP) [25]. Also children who do not demonstrate spontaneous motor function have an increased prevalence of increased ICP [26].
Although prospective randomized clinical trials are lacking, there is robust evidence to support improved outcomes and decreased morbidity with patients who undergo aggressive management and treatment for increased ICP. Any child with a GCS less than 8 should be considered for ICP monitoring including infants with open fontanelles [27].
Cerebral perfusion pressure (CPP) is the mean arterial pressure minus the ICP and is considered the transmural pressure gradient that is ultimately the driving force required for supplying cerebral metabolic needs to the brain. At a CPP of 10 mm Hg the blood vessels collapse and blood flow ceases. There is a good correlation between CPP and cerebral blood flow (CBF) in patients with intact cerebral autoregulation [28]. CBF is defined as the velocity of blood through the cerebral circulation and is 50 to 55 mL/100 g of brain tissue/min in normal adults. In children the CBF may be much higher depending on their age. At one year of age it approximates adult levels but at five years of age the CBF is approximately 90 mL/100 g/min gradually declining to adult levels by the mid to late teens. Cerebral autoregulation is often disrupted after severe TBI thereby making CBF difficult to interpret and utilize consistently in the management of TBI.
Previously treatments were directed towards decreasing ICP mostly via fluid restriction and hyperventilation that lower ICP by decreasing cerebral blood flow. Current methods optimize increasing the CPP over decreasing the ICP. Pediatric TBI protocols involve maintaining CPP between 40 and 65 mm Hg with most guidelines recommending a minimum CPP of 40 mmHG . ICP elevations above 20 mmHg are not tolerated well by the injured brain and are likely to have more morbidity and mortality. Sustained increased ICP may result in decreased cerebral perfusion, increased cellular damage and lead to subsequent herniation. Therefore patients with ICP greater than 20 mmHg should undergo treatment for their ICP including the placement of an intraventricular device to allow drainage of CSF in order to decrease ICP [29].
Does intracranial pressure monitoring and treatment improve outcome?
Elevated ICP is associated with worse outcomes. A retrospective review of the American College of Surgeons Trauma Quality Improvement Program (TQIP) and a pediatric pilot TQIP which included 1,750 children found a significant decrease in mortality for patients undergoing ICP monitoring after adjusting for hospital type (adult, pediatric, teaching, community) and age [30]. A second large database review of the National Trauma Bank found that patients with a GCS of 3 and ICP monitoring were the only cohort of patients with a lower mortality. Patients undergoing ICP monitoring had a longer total length of stay, spent more time in the intensive care unit and a longer duration of mechanical ventilation (although this may be a reflection of overall severity of illness rather than monitoring itself) [31].
What is the utility of advanced neuromonitoring?
Hypotension and inadequate tissue oxygenation are considered causes of second injury in pediatric patients suffering from TBI. Therefore several techniques have emerged that attempt to objectively quantify brain oxygen delivery and consumption.
Jugular venous saturation monitoring (SjvO2) has been used to assess the adequacy of perfusion and requires the insertion of a specialized central venous catheter. Elevated SjvO2 may represent an increase in cerebral blood flow or poor oxygen extraction. Depressed SjvO2 can be due to decreased oxygen carrying capacity or overall content or inadequate perfusion. Standard normal values have not been established in the pediatric population[32].
Brain tissue oxygen tension (PbtO2) has also been employed in an effort to minimize hypoperfusion. An electrode is placed within the parenchyma and measures voltage changes which reflect tissue oxygen levels. Similar to SjvO2 there are no established values for children. A value of 0 mm Hg has been associated with brain death and recent guidelines suggest PbtO2 should be maintained greater than 10 mm Hg.
Cerebral microdialysis also requires an intra-parenchymal catheter. A dialysate is infused through the catheter and biomarkers cross a semipermeable membrane from the brain tissue into the catheter. This technique allows the measurement of lactate, glucose, glycerol and glutamate. One study in children found a difference in the levels of excitatory neurotransmitters. However this modality is primarily a research method at this time [32].
Less invasive neuromonitoring includes electroencephalography (EEG) and transcranial ultrasonography with Doppler. Transcranial Doppler allows assessment of blood flow while the patient undergoes initial resuscitation even prior to ICP monitor placement. Flow velocities, particularly through the middle cerebral artery, reflect derangements in autoregulation [33]. Seizures have been associated with an increase in ICP but often may be unrecognized in sedated patients with severe TBI. Continuous EEG and digital media now facilitate improved detection.
Placement of an external ventricular drain (EVD) allows the measurement of intraventricular pressure and the potentially therapeutic drainage of cerebrospinal fluid lowering the ICP.
Are repeat scans indicated in the assessment of severe traumatic brain injury?
Repeat imaging is often utilized to evaluate patients with severe TBI. Motives range from routine practice to the inability to obtain a reliable neurological examination while on sedative medication. The decision to obtain further radiographic information may also stem from elevated intracranial pressure. One retrospective review of 521 patients found that 43% of patients with moderate to severe head injury had worsening findings on CT on average obtained 13.3 hours following the original scan. However only six percent required subsequent neurosurgical intervention. Each of the patients requiring intervention had demonstrated impaired or worsening neurologic clinical status prior to the repeat CT. Multivariate analysis found head injury severity, patient age, abnornal PTT and intraparenchymal hemorrhage on initial CT were associated with a higher risk for worsening injury on repeat CT [34].
Medical Treatment
How should patients with traumatic brain injury be resuscitated?
Initial trauma management in the emergency department begins with the ATLS (Advanced Trauma Life Support) protocol of Airway, Breathing, Circulation, Disability and Exposure. Physical exam with Glasgow Coma Score (GCS) assessment remains essential. This exam should be performed before the administration of sedation and neuromuscular blockade. Clinical symptoms suggestive of intracranial injury or elevated intracranial pressure (ICP) include coma, irritability, lethargy, emesis or seizures. Physical exam findings associated with elevated ICP include frontal bossing, enlarged head, dilated scalp veins, sun-setting eyes, papilledema and bulging fontanels. Attention should be paid to scalp lacerations which may be the source of shock in younger pediatric patients. Isotonic fluid should be given early during the child’s assessment. Dextrose containing fluid should be avoided in the early stages of resuscitation. Although pediatric patients are prone to hypoglycemia this is rare in the first phases of trauma. As hypoxia, hypotension and hyperglycemia can cause secondary brain injury, they should be avoided in suspected head trauma. An arterial line, central venous pressure monitor, core temperature probe and ICP monitor should be placed early in the resuscitation of these patients.
- Pineda JA et al: Effect of implementation of a paediatric neurocritical care programme on outcomes after severe traumatic brain injury: a retrospective cohort study. Lancet Neurol 12:45, 2013 [PMID: 23200264]
- O’Lynnger TM et al: Standardizing ICU management of pediatric traumatic brain injury is associated with improved outcomes at discharge. J Neurosurg Pediatr Oct 9, 2015 [PMID: 26451717]
What hyperosmolar agent should be utilized in the treatment of traumatic brain injury?
Hyperosmolar agents for the management of ICP have been used since the 1960’s [35]. Current recommendations are to begin therapy in patients suspected of intracranial hypertension and/or impending signs of herniation. Prophylactic use of these solutions is no longer recommended. Mannitol usage has fallen out of favor due to several side effects including the rebound effect of secondary cerebral ischemia, serum electrolyte imbalance and hypovolemia.
Recent data suggests that 3% hypertonic saline should be used as the mainstay therapy to maintain serum sodium concentrations of 150 to 170 mEq/L and serum osmolarity of 360 mOsm/L. Serum osmolarity of 360 mOsm/L has been reported to be well tolerated in the pediatric patient with a head injury [36]. Hypertonic saline has also been reported to have several other potentially beneficial effects which include vasoregulatory, hemodynamic, neurochemical and immunologic properties. Initial therapy should be 3 to 5 mL/kg or continuous infusion of 0.1 to 1.0 mL/kg/hr titrated to decrease ICP. Myelinolysis is more likely to occur with a rapid transition from hyponatremia to hypernatremia.
What is the role of sedation in the management of severe traumatic brain injury?
The optimal sedative for children with traumatic brain injury (TBI) would have minimal effect on the cardiovascular system and cerebral blood flow. It would be relatively short acting to allow for frequent neurologic examinations and it would also prevent seizure activity. Unfortunately little research exists to identify the appropriate agent.
Physiologic responses to therapy, including coughing from suctioning and shivering from hypothermia, are known to increase ICP and make sedative medication a requirement in TBI management [24].
Etomidate has been shown to decrease ICP significantly in patients less than fifteen years of age. Half of the patients developed laboratory evidence of adrenal suppression although no patients required steroid therapy [37]. Barbituates have also been studied prospectively and not only decreased ICP but also the flow velocity in the middle cerebral artery [38]. Research models have suggested the potential benefits of ketamine but concerns remain regarding potential vasodilation thereby limting it widespread clinical use [24].
Should hypothermia be utilized in the treatment of traumatic brain injury?
Therapeutic hypothermia (32 to 33°C) may be utilized in the first 48 hours in order to reduce metabolic rate and ICP but should be avoided in the immediate eight hours following injury. Rapid rewarming (greater than 0.5°C/hour) should be avoided [24]. These recommendations are based on a phase III multicenter randomized trial in severe TBI pediatric patients that found a decrease in ICP in the hypothermia group. However upon rewarming they developed a higher ICP than the normothermic patients [39]. A separate phase II multicenter randomized trial in a similar patient population also found a decrease in ICP with therapeutic hypothermia. Rewarming performed at 0.5 to 1°C every three to four hours eliminated the rebound intracranial hypertension [40]. While fever is to be avoided, hypothermia is relegated to a third-tier therapy in children with refractory intracranial hypertension secondary to an increased incidence of adverse events in hypothermic children and a lack of improvement in outcome compared to normothermic children .
What drainage procedure may be a useful adjunct in refractory intracranial hypertension?
Level III evidence currently supports the use of extraventricular drainage (EVD) for refractory intracranial hypertension [24]. EVD allows monitoring of the ICP itself and drainage of CSF if ICP remains elevated. ICP is decreased as the intracranial volume decreases. If patients continue to have elevated ICP with a functioning EVD a lumbar drain may also be considered but should only be employed in patients with open basal cisterns and the absence of midline shift or mass lesions.
What medications may be utilized in refractory intracranial hypertension?
Barbiturate delivery at high doses has been shown to reduce ICP when alternate surgical and medical therapies are ineffective [24]. This class of medications facilitates the body’s ability to appropriately match oxygen demand with delivery and inhibits lipid peroxidation and excitotoxicity thereby decreasing ICP. There are significant side effects when barbiturate therapy is employed including hypotension and decreased cardiac output often requiring vasopressor therapy. Therefore barbiturate therapy is considered as a third tier therapy to be used only when other methods have failed to reduce ICP. There is currently no strong literature to determine which barbiturate is most effective or safest.
Are there any benefits to hyperventilation?
Worse outcomes have been demonstrated in severe hypocarbia [24]. Traditionally hyperventilation was recommended in patients with TBI to decrease intracranial pressure but this result was noted be secondary to vasoconstriction of the cerebral vasculature leading to decreased blood flow. There were no prospective randomized trials to support the widespread implementation of hyperventilation. One prospective review utilizing xenon enhanced CT to measure cerebral blood flow found a substantial increase in regional ischemia from 28.9% to 59.4% and 73.1% for normocapnia, PaCO2 25 to 35 mm Hg, and less than 25 mm Hg, respectively [41]. A separate retrospective review found an exponential increase in mortality with more frequent episodes of hypocarbia (PaCO2 less than 30 mm Hg) [42]. Ultimately hyperventilation needs to be objectively compared to other measures used to decrease ICP including hyperosmolar therapy and sedation. It is currently relegated to a third tier therapy to be used for a short interval awaiting a more definitive intervention.
What is the role of corticosteroids?
ICP and mortality have not been shown to decrease with the addition of corticosteroid therapy. Although steroid delivery results in decreased cerebrospinal fluid production, restores homeostatic vascular permeability and decreases edema, this has not translated to a decrease in ICP [24]. One randomized prospective trial compared a three day course of dexamethosone (1 mg/kg/day) to placebo. GCS at six months, total number of interventions, ICP and CPP were not significantly altered between groups. However, the dosing of steroids did suppress patients internal corticosteroid feedback loop and trended toward an increased risk of bacterial pneumonia [43]. Based on these results corticosteroid therapy is not recommended in severe TBI patients.
What findings would suggest the need for antiseizure prophylaxis?
Several risk factors have been identified for posttraumatic seizures in patients with TBI. These include the location of hematoma, presence of retained foreign body, depressed skull fractures, Glascow coma scale less than 10 and amnesia. Pediatric patients are known to have a lower seizure threshold. Therefore seizure prophylaxis is often discussed in TBI therapy [24].
There is very little evidence regarding the appropriate antiseizure medication. One retrospective study found phenytoin significantly decreased seizure activity but study size was limited and there was no comment on medication side effects [44]. Use of seizure prophylaxis for more than seven days has been associated with decreased long term cognitive function.
Indications for Surgery
What is the role of decompresive craniectomy?
Decompressive craniectomy (DC) can be performed unilaterally or bilaterally and can be approached via temporal, frontal or circumferential excisions. The underlying dura may be opened or left intact. Due to the variety of methods used by both adult and pediatric neurosurgeons for this infrequent procedure the strength of research on results is lacking. Currently level III recommendations recommend employing DC in those with medically refractory intracranial hypertension or patients with neurologic deterioration and signs of herniation who have an intracranial lesion that can be evacuated. A craniectomy in which the bone flap is fully removed and a duraplasty performed are the recommended procedures. These recommendations are based on class III studies which found generally decreased ICP measurements with varying clinical outcomes. These studies had diverse indications for DC and operative methods thus limiting their widespread application [24].
Several retrospective studies have been performed analyzing the effect of DC on clinical outcomes. Unfortunately these studies also utilized varying indications and methods of approach and also contained few patients. Outcomes ranged from a “complete recovery” to “better than expected” and when used, quality of life questionnaires had mean scores of 4 of 5 [45][46][47]. Functional assessments found patients required minimal assistance or were fully independent [48]. Current formal recommendations are that outcomes may be improved in patients with DC [24].
Since the release of these formal guidelines further retrospective review has highlighted several complications associated with DC. These include hygroma formation, aseptic bone resorption, hydrocephalus and epilepsy. There is no clear casual relationship for these complications. For example, seizures are a known side effect of traumatic brain injury and may not be directly caused by DC [49].
When do skull fractures require surgery?
Surgery is indicated for patients with skull fractures that are both open and depressed. When the fractured piece is greater than or equal to 5 mm below the neighboring skull, surgeons will generally elevate the segment at time of operative washout. Other reasons for elevation include underlying bleeding, dural tear or significant contamination. Delayed surgical repair may be required in skull fractures resulting in a prolonged, persistent leakage of cerebrospinal fluid [50].
When do epidural or subdural hematomas require evacuation?
Any intracranial hemorrhage leading to mass effect on parenchymal tissue warrants prompt evaluation by a neurosurgical team. Mass effect is usually identified via noncontrast CT scan[1].
Specific indications to decompress epidural hematomas have included a decrease in level of consciousness, pupillary changes and elevated intracranial pressure. One retrospective series specifically cited:
- neurologic changes in a patient with an estimated 25ml hematoma
- hematoma measuring 40 ml regardless of neurologic status
- hematoma measuring 25 ml in a critical region such as the posterior fossa
- midline shift 0.5 cm with a neurologic change
- increase in the volume of the hematoma on repeat imaging
In this review the majority of patients made a full recovery. Those with persistent postoperative deficit were more likely to have associated intracranial lesions [51].
Generally hematomas are treated surgically rather than conservatively when midline shift is present, the patient’s neurologic exam deteriorates or the magnitude of the hematoma is sizeable [52]. In infants blood may be aspirated through an open fontanel. Those who undergo open craniotomy are at higher risk than adults for hypovolemic hemorrhagic shock [53].
Outcomes
What is the annual mortality and morbidity from traumatic brain injury?
According to the CDC 7,440 children died of traumatic brain injury (TBI) in 2005 and the full extent of the injury is likely underestimated [6][6]. There are currently no population based studies to estimate the actual personal and public health burden of TBI in children and youth.
Based on the current best estimates severe pediatric TBI has a 20 % with a 50.6% unfavorable six month outcome. Although TBI associated death rates have decreased from 1997 to 2007, disabilities for TBI survivors continue to have both a direct and indirect impact on the economic and human integrity of our society [54][55]. The degree of disability varies with the severity and mechanism of the injury but physical, cognitive, emotional and behavioral deficits may be evident for years after the injury.
A correlation exists between a child’s initial GCS and their morbidity and long term outcomes [56][57]. A low GCS predicts major injury with three-quarters of children with GCS scores of 3, 4 or 5 having an ISS greater than 15. Evidence has also suggests that, similar to adults, the initial motor component of the GCS is the most important indicator of mortality and outcomes in these children [58].
Follow-Up
What is the role of rehabilitation in patients with traumatic brain injury?
A traumatic brain injury (TBI) experienced by a child can contribute to physical impairments, lowered cognitive and academic skills relative to developmental expectations and deficits in behavior, socialization and adaptive functioning. Some studies suggest that even children with mild injuries are at risk for disability [59]. In children the effects of a TBI may not emerge until they are older and can manifest itself in various aspects of daily life including academic failure, chronic behavior problems, social isolation and within relationships [60][61]. Short and long term implications of these injuries necessitate close follow up and rehabilitation.
Rehabilitation goals are established upon admission and re-evaluated throughout recovery. Rehabilitation is focused on using alternative strategies to compensate for cognitive deficits, facilitate neurocognitive recovery and motor skill development, manage comorbidities, minimize complications and maximize potential for functional independence at the level of impairment. The long term goal is to optimize the child’s functional independence and neurocognitive abilities in developmental age appropriate activities of daily living. Strategies are used to meet these goals within physical and cognitive limitations while utilizing the child’s strengths. Inpatient and outpatient medical rehabilitation therapies should include occupational, physical and speech-language therapy.
Two theories for the mechanism of recovery from TBI have been suggested: restitution and substitution. Restitution reflects the early postinjury natural course of physiologic healing and recovery that occurs with reactivation of neural pathways and restoration of function. Substitution reflects the transmission of neural function from injured to noninjured brain tissue to allow structural reorganization and compensation. Although an overlap of these two mechanisms occurs in the acute phases, substitution is thought to be the predominant mechanism after six months during new learning [62][63].
Common problems in TBI management also include dysautonomia, seizures, dysphagia, dyspraxia and spasticity. Dysautonomia is estimated to affect about one third of patients after moderate to severe TBI in the first few weeks after brain injury. The constellation of symptoms includes tachycardia, hyperthermia, diaphoresis, muscle over-reactivity, increased respiratory effort or rate, hypertension and pupillary dilatation. This response is commonly referred to by numerous names such as brain or thalamic storming or autonomic dysreflexia. Children with dysautonomia required longer rehabilitation and had less improvement in motor skills scores when compared with injured children who do not have dysautonomia [64]. Spasticity and elevated muscle tone commonly evolve after brain injury because of dysfunction of sensorimotor control in the upper motor neurons [65].
Patient Care Guidelines
The establishment of practice guidelines for pediatric trauma has been effective in decreasing morbidity and mortality. This includes the implementation of the 2012 Traumatic Brain Injury Guidelines. Adoption of practice guidelines (goals of therapy , practice guidelines) have been shown at several children’s hospitals to have significant improvements in discharge disposition and to reduce mortality [66][67].
Center for Disease Control and Prevention guidelines on Mild Traumatic Brain Injury Among Children [68].
Perspectives and Commentary
To submit comments about this topic please contact the editors at think@apsapedsurg.org.
Additional Resources
Pediatric Trauma Society Journal Scan Head Injury
Discussion Questions and Cases
To submit interesting or controversial cases which display thoughtful patient management please contact the editors at think@apsapedsurg.org.
A fifteen year old male is found unconscious after a fall from an unknown height. A large laceration is noted on his scalp and it feels boggy.
What is the next best step in management?
The same patient is now in the intensive care unit with an arterial line, central line and intracranial pressure monitor. The pressures remain high despite initial therapies.
What are the next best steps in management?
Forty-eight hours have now passed and the patient has begun to show signs of improvement.
What therapies should be initiated or removed?
Pediatric Trauma Society case report Abusive Head Trauma
Additonal questions are in SCORE Neurosurgical Trauma conference prep
References
- Tieves KS, Goldstein J. Head Injury and Facial Trauma. In: Holcomb III GW, Murphy JP, Ostlie DJ, editors. Ashcraft’s Pediatric Surgery. 6th ed. New York: Elsevier, 2014.
- Tilford JM, Aitken ME, Anand KJ, et al. Hospitalizations for critically ill children with traumatic brain injuries: a longitudinal analysis. Crit Care Med. 2005;33(9):2074-81. [PMID:16148483]
- Adelson PD, Bratton SL, Carney NA, et al. Guidelines for the acute medical management of severe traumatic brain injury in infants, children, and adolescents. Chapter 1: Introduction. Pediatr Crit Care Med. 2003;4(3 Suppl):S2-4. [PMID:12847337]
- Langlois JA, Rutland-Brown W, Thomas KE. Traumatic brain injury in the United States: emergency department visits, hospitalizations, and deaths. Atlanta (GA): Centers for Disease Control and Prevention, National Center for Injury Prevention and Control; 2006.
- NCHS, Monthly Vital Statistics Report. Vol. 45, No. 3 (S), September 30, 1996
- CDC. Report to congress on mild traumatic brain injury in the United States: Steps to prevent a serious public health problem. Atlanta (GA): National Center for Injury Prevention and Control; 2003.
- Andersson EE, Sejdhage R, Wage V. Mild traumatic brain injuries in children between 0-16 years of age: a survey of activities and places when an accident occurs. Dev Neurorehabil. 2012;15(1):26-30. [PMID:22256831]
- Robertson BD, McConnel CE, Green S. Charges associated with pediatric head injuries: a five year retrospective review of 41 pediatric hospitals in the US. J Inj Violence Res. 2013;5(1):51-60. [PMID:22821220]
- Bin SS, Schutzman SA, Greenes DS. Validation of a clinical score to predict skull fracture in head-injured infants. Pediatr Emerg Care. 2010;26(9):633-9. [PMID:20805783]
- Erşahin Y, Mutluer S, Mirzai H, et al. Pediatric depressed skull fractures: analysis of 530 cases. Childs Nerv Syst. 1996;12(6):323-31. [PMID:8816297]
- Liu-Shindo M, Hawkins DB. Basilar skull fractures in children. Int J Pediatr Otorhinolaryngol. 1989;17(2):109-17. [PMID:2759776]
- Dagi TF, Meyer FB, Poletti CA. The incidence and prevention of meningitis after basilar skull fracture. Am J Emerg Med. 1983;1(3):295-8. [PMID:6680635]
- Rathore MH. Do prophylactic antibiotics prevent meningitis after basilar skull fracture? Pediatr Infect Dis J. 1991;10(2):87-8. [PMID:2062618]
- Venetz I, Schopfer K, Mühlemann K. Paediatric, invasive pneumococcal disease in Switzerland, 1985-1994. Swiss Pneumococcal Study Group. Int J Epidemiol. 1998;27(6):1101-4. [PMID:10024210]
- James HE, Trauner DA. The Glasgow Coma Scale. In: James HE, Anas NG, Perkin RM, editors. Brain insults in infants and children: pathophysiology and management. Orlando, Florida: Grune and Stratton Inc. 1985, 179–82.
- O’Brien, N. (2012). Traumatic brain injury. In K. Reuter-Rice & B. Bolick (Eds.), Pediatric acute care: A guide for interprofessional practice (pp. 1197–1204). Burlington, MA: Jones & Bartlett Learning
- Stein SC. Minor head injury: 13 is an unlucky number. J Trauma. 2001;50(4):759-60. [PMID:11303182]
- Brasure, M., Lamberty, G.J., Sayer, N.A., Nelson, N.W., Macdonald, R., Ouellette, J., ... Wilt, T.J. (2012). Multidisciplinary postacute rehabilitation for moderate to severe traumatic brain injury in adults. Agency for Healthcare Research and Quality (AHRQ) Comparative Effectiveness Reviews, 72, ES1–ES20. Available at: http://effectivehealthcare.ahrq.gov
- Keller MS, Fendya DG, Weber TR. Glasgow Coma Scale predicts coagulopathy in pediatric trauma patients. Semin Pediatr Surg. 2001;10(1):12-6. [PMID:11172565]
- http://www.cdc.gov/traumaticbraininjury/get_the_facts.html
- Wylie MC, Merritt C, Clark M, et al. Imaging of Pediatric Head Injury in the Emergency Department. Pediatr Emerg Care. 2014;30(10):680-685. [PMID:25272077]
- Buttram SD, Garcia-Filion P, Miller J, et al. Computed tomography vs magnetic resonance imaging for identifying acute lesions in pediatric traumatic brain injury. Hosp Pediatr. 2015;5(2):79-84. [PMID:25646200]
- Mehta H, Acharya J, Mohan AL, et al. Minimizing Radiation Exposure in Evaluation of Pediatric Head Trauma: Use of Rapid MR Imaging. AJNR Am J Neuroradiol. 2015. [PMID:26381555]
- Kochanek PM, Carney N, Adelson PD, et al. Guidelines for the acute medical management of severe traumatic brain injury in infants, children, and adolescents--second edition. Pediatr Crit Care Med. 2012;13 Suppl 1:S1-82. [PMID:22217782]
- Shapiro K, Marmarou A. Clinical applications of the pressure-volume index in treatment of pediatric head injuries. J Neurosurg. 1982;56(6):819-25. [PMID:7077382]
- Bruce DA, Raphaely RC, Goldberg AI, et al. Pathophysiology, treatment and outcome following severe head injury in children. Childs Brain. 1979;5(3):174-91. [PMID:456099]
- Adelson PD, Bratton SL, Carney NA, et al. Guidelines for the acute medical management of severe traumatic brain injury in infants, children, and adolescents. Chapter 5. Indications for intracranial pressure monitoring in pediatric patients with severe traumatic brain injury. Pediatr Crit Care Med. 2003;4(3 Suppl):S19-24. [PMID:12847341]
- Cold GE. Cerebral blood flow in the acute phase after head injury. Part 2: Correlation to intraventricular pressure (IVP), cerebral perfusion pressure (CPP), PaCO2, ventricular fluid lactate, lactate/pyruvate ratio and pH. Acta Anaesthesiol Scand. 1981;25(4):332-5. [PMID:6797218]
- Adelson PD, Bratton SL, Carney NA, et al. Guidelines for the acute medical management of severe traumatic brain injury in infants, children, and adolescents. Chapter 10. The role of cerebrospinal fluid drainage in the treatment of severe pediatric traumatic brain injury. Pediatr Crit Care Med. 2003;4(3 Suppl):S38-9. [PMID:12847346]
- Alali AS, Gomez D, Sathya C, et al. Intracranial pressure monitoring among children with severe traumatic brain injury. J Neurosurg Pediatr. 2015. [PMID:26273741]
- Alkhoury F, Kyriakides TC. Intracranial Pressure Monitoring in Children With Severe Traumatic Brain Injury : National Trauma Data Bank-Based Review of Outcomes. JAMA Surg. 2014. [PMID:24789426]
- Friess SH, Kilbaugh TJ, Huh JW. Advanced neuromonitoring and imaging in pediatric traumatic brain injury. Crit Care Res Pract. 2012;2012:361310. [PMID:22675618]
- Bell MJ, Kochanek PM. Traumatic brain injury in children: recent advances in management. Indian J Pediatr. 2008;75(11):1159-65. [PMID:19132318]
- Hollingworth W, Vavilala MS, Jarvik JG, et al. The use of repeated head computed tomography in pediatric blunt head trauma: factors predicting new and worsening brain injury. Pediatr Crit Care Med. 2007;8(4):348-56; CEU quiz 357. [PMID:17545925]
- Upadhyay P, Tripathi VN, Singh RP, et al. Role of hypertonic saline and mannitol in the management of raised intracranial pressure in children: A randomized comparative study. J Pediatr Neurosci. 2010;5(1):18-21. [PMID:21042500]
- Khanna S, Davis D, Peterson B, et al. Use of hypertonic saline in the treatment of severe refractory posttraumatic intracranial hypertension in pediatric traumatic brain injury. Crit Care Med. 2000;28(4):1144-51. [PMID:10809296]
- Bramwell KJ, Haizlip J, Pribble C, et al. The effect of etomidate on intracranial pressure and systemic blood pressure in pediatric patients with severe traumatic brain injury. Pediatr Emerg Care. 2006;22(2):90-3. [PMID:16481923]
- de Bray JM, Granry JC, Monrigal JP, et al. Effects of thiopental on middle cerebral artery blood velocities: a transcranial Doppler study in children. Childs Nerv Syst. 1993;9(4):220-3. [PMID:8104692]
- Hutchison JS, Ward RE, Lacroix J, et al. Hypothermia therapy after traumatic brain injury in children. N Engl J Med. 2008;358(23):2447-56. [PMID:18525042]
- Adelson PD, Ragheb J, Kanev P, et al. Phase II clinical trial of moderate hypothermia after severe traumatic brain injury in children. Neurosurgery. 2005;56(4):740-54; discussion 740-54. [PMID:15792513]
- Skippen P, Seear M, Poskitt K, et al. Effect of hyperventilation on regional cerebral blood flow in head-injured children. Crit Care Med. 1997;25(8):1402-9. [PMID:9267957]
- Curry R, Hollingworth W, Ellenbogen RG, et al. Incidence of hypo- and hypercarbia in severe traumatic brain injury before and after 2003 pediatric guidelines. Pediatr Crit Care Med. 2008;9(2):141-6. [PMID:18477926]
- Fanconi S, Klöti J, Meuli M, et al. Dexamethasone therapy and endogenous cortisol production in severe pediatric head injury. Intensive Care Med. 1988;14(2):163-6. [PMID:3361022]
- Lewis RJ, Yee L, Inkelis SH, et al. Clinical predictors of post-traumatic seizures in children with head trauma. Ann Emerg Med. 1993;22(7):1114-8. [PMID:8517559]
- Hejazi N, Witzmann A, Fae P. Unilateral decompressive craniectomy for children with severe brain injury. Report of seven cases and review of the relevant literature. Eur J Pediatr. 2002;161(2):99-104. [PMID:11954760]
- Figaji AA, Fieggen AG, Peter JC. Early decompressive craniotomy in children with severe traumatic brain injury. Childs Nerv Syst. 2003;19(9):666-73. [PMID:12908115]
- Jagannathan J, Okonkwo DO, Dumont AS, et al. Outcome following decompressive craniectomy in children with severe traumatic brain injury: a 10-year single-center experience with long-term follow up. J Neurosurg. 2007;106(4 Suppl):268-75. [PMID:17465359]
- Rutigliano D, Egnor MR, Priebe CJ, et al. Decompressive craniectomy in pediatric patients with traumatic brain injury with intractable elevated intracranial pressure. J Pediatr Surg. 2006;41(1):83-7; discussion 83-7. [PMID:16410113]
- Pechmann A, Anastasopoulos C, Korinthenberg R, et al. Decompressive craniectomy after severe traumatic brain injury in children: complications and outcome. Neuropediatrics. 2015;46(1):5-12. [PMID:25343328]
- Qureshi NH. Skull Fracture Treatment and Management. In: Koppel BH, editor. Skull Fracture. [Internet] MEDSCAPE; 2015 Sept [Cited 2016 March 27]. Available from:http://emedicine.medscape.com/article/248108-treatment#d10
- Rocchi G, Caroli E, Raco A, et al. Traumatic epidural hematoma in children. J Child Neurol. 2005;20(7):569-72. [PMID:16159521]
- Ciurea AV, Tascu A, Brehar FM, et al. A life threatening problem in infants: supratentorial epidural hematoma. J Med Life. 2009;2(2):191-5. [PMID:20108539]
- Huang KT, Bi WL, Abd-El-Barr M, et al. The Neurocritical and Neurosurgical Care of Subdural Hematomas. Neurocrit Care. 2015. [PMID:26399248]
- Aitken ME, McCarthy ML, Slomine BS, et al. Family burden after traumatic brain injury in children. Pediatrics. 2009;123(1):199-206. [PMID:19117883]
- Coronado, V., Xu, L., Basavaraju, S., McGuire, L., et al. (2011). Surveillance for traumatic brain injury—related deaths—United States, 1997–2007. Morbidity and Mortality Weekly Report: Surveillance Summaries, 60(5), 1–32. Retrieved from http://www.cdc.gov/mmwr/preview/mmwrhtml/ss6005a1.htm
- Cicero MX, Cross KP. Predictive value of initial Glasgow coma scale score in pediatric trauma patients. Pediatr Emerg Care. 2013;29(1):43-8. [PMID:23283262]
- Nesiama JA, Pirallo RG, Lerner EB, et al. Does a prehospital Glasgow Coma Scale score predict pediatric outcomes? Pediatr Emerg Care. 2012;28(10):1027-32. [PMID:23023472]
- Udekwu P, Kromhout-Schiro S, Vaslef S, et al. Glasgow Coma Scale score, mortality, and functional outcome in head-injured patients. J Trauma. 2004;56(5):1084-9. [PMID:15179250]
- Rivara FP, Koepsell TD, Wang J, et al. Incidence of disability among children 12 months after traumatic brain injury. Am J Public Health. 2012;102(11):2074-9. [PMID:22994196]
- Ewing-Cobbs L, Fletcher JM, Levin HS, et al. Longitudinal neuropsychological outcome in infants and preschoolers with traumatic brain injury. J Int Neuropsychol Soc. 1997;3(6):581-91. [PMID:9448371]
- Gerrard-Morris A, Taylor HG, Yeates KO, et al. Cognitive development after traumatic brain injury in young children. J Int Neuropsychol Soc. 2010;16(1):157-68. [PMID:19849883]
- Catroppa C, Anderson V. Planning, problem-solving and organizational abilities in children following traumatic brain injury: intervention techniques. Pediatr Rehabil. 2006;9(2):89-97. [PMID:16449067]
- Anderson V, Catroppa C. Recovery of executive skills following paediatric traumatic brain injury (TBI): a 2 year follow-up. Brain Inj. 2005;19(6):459-70. [PMID:16101268]
- Kirk KA, Shoykhet M, Jeong JH, et al. Dysautonomia after pediatric brain injury. Dev Med Child Neurol. 2012;54(8):759-64. [PMID:22712762]
- Kheder A, Nair KP. Spasticity: pathophysiology, evaluation and management. Pract Neurol. 2012;12(5):289-98. [PMID:22976059]
- Pineda JA, Leonard JR, Mazotas IG, et al. Effect of implementation of a paediatric neurocritical care programme on outcomes after severe traumatic brain injury: a retrospective cohort study. Lancet Neurol. 2013;12(1):45-52. [PMID:23200264]
- O'Lynnger TM, Shannon CN, Le TM, et al. Standardizing ICU management of pediatric traumatic brain injury is associated with improved outcomes at discharge. J Neurosurg Pediatr. 2015. [PMID:26451717]
- Lumba-Brown A, Yeates KO, Sarmiento K, et al. Centers for Disease Control and Prevention Guideline on the Diagnosis and Management of Mild Traumatic Brain Injury Among Children. JAMA Pediatr. 2018. [PMID:30193284]
- CDC. Report to congress on mild traumatic brain injury in the United States: Steps to prevent a serious public health problem. Atlanta (GA): National Center for Injury Prevention and Control; 2003.
- Centers for Disease Control and Prevention. (2014). TBI data and statistics. Retrieved fromhttp://www.cdc.gov/traumaticbraininjury/data/index.html
- Finkelstein E, Corso P, Miller D. The Incidence and Economic Burden of Injuries in the United States. New York: Oxford University Press; 2006.
- Kontos AP, Jorgensen-Wagers K, Trbovich AM, et al. Association of Time Since Injury to the First Clinic Visit With Recovery Following Concussion. JAMA Neurol. 2020. [PMID:31904763]
- Langlois JA, Rutland-Brown W, Wald MM. The epidemiology and impact of traumatic brain injury: a brief overview. J Head Trauma Rehabil. 2006;21(5):375-8. [PMID:16983222]
- Meinert E, Bell MJ, Buttram S, et al. Initiating Nutritional Support Before 72 Hours Is Associated With Favorable Outcome After Severe Traumatic Brain Injury in Children: A Secondary Analysis of a Randomized, Controlled Trial of Therapeutic Hypothermia. Pediatr Crit Care Med. 2018;19(4):345-352. [PMID:29370008]
Media
goals of therapy
- Pineda JA et al: Effect of implementation of a paediatric neurocritical care programme on outcomes after severe traumatic brain injury: a retrospective cohort study. Lancet Neurol 12:45, 2013 [PMID: 23200264]
practice guidelines
- O’Lynnger TM et al: Standardizing ICU management of pediatric traumatic brain injury is associated with improved outcomes at discharge. J Neurosurg Pediatr Oct 9, 2015 [PMID: 26451717]

Pediatric Surgery NaT

